Día Mundial del Cáncer de Mama
19/10/2020 15:39
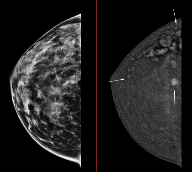
El Hospital Universitario del Vinalopó incorpora un mamógrafo 3D con contraste capaz de detectar tumores de solo cuatro milímetros
La nueva tecnología ofrece a las mujeres que han padecido un cáncer de mama “las máximas garantías de que no ha aparecido ninguna otra lesión, por pequeña que sea”










