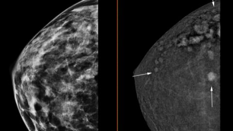
El Hospital Universitario del Vinalopó ha adquirido un mamógrafo 3D con contraste que permite la detección de tumores de un tamaño de apenas 4 milímetros, que con la tecnología convencional son invisibles.
Con ello, ese mamógrafo 3D con contraste es capaz de detectar hasta un 30% más de tumores cancerígenos.
Así se ha destacado este lunes desde el Hospital del Vinalopó que además se ha añadido que con la nueva tecnología se ofrece a las mujeres que padecido un cáncer de mama “las máximas garantías de que no ha aparecido ninguna otra lesión, por pequeña que sea”.
Julia Camps, jefa del Área de Salud de la Mama del grupo Ribera Salud, al que pertenece el Hospital del Vinalopó, ha destacado que la tecnología incorporada en el centro tiene una “importancia vital” para aquellas pacientes que, por diferentes circunstancias, no pueden entrar en una resonancia, como es el caso de personas con claustrofobia, que no se pueden poner boca abajo, que tienen una demencia, padecen problemas cardíacos o respiratorios o que llevan un marcapasos: “Para esos casos, gracias al mamógrafo 3D con contraste podemos estratificar mejor a las pacientes y facilitarles una prueba diagnóstica que tiene la misma fiabilidad que una resonancia, y que además es rápida y no encarna tanta dificultad, porque apenas tarda unos segundos”, ha explicado Camps que ha añadido que la tecnología “permite realizar biopsias por tomosíntesis muy precisas, en el contexto de un procedimiento sencillo”.

