Universidad
20/02/2026 06:00
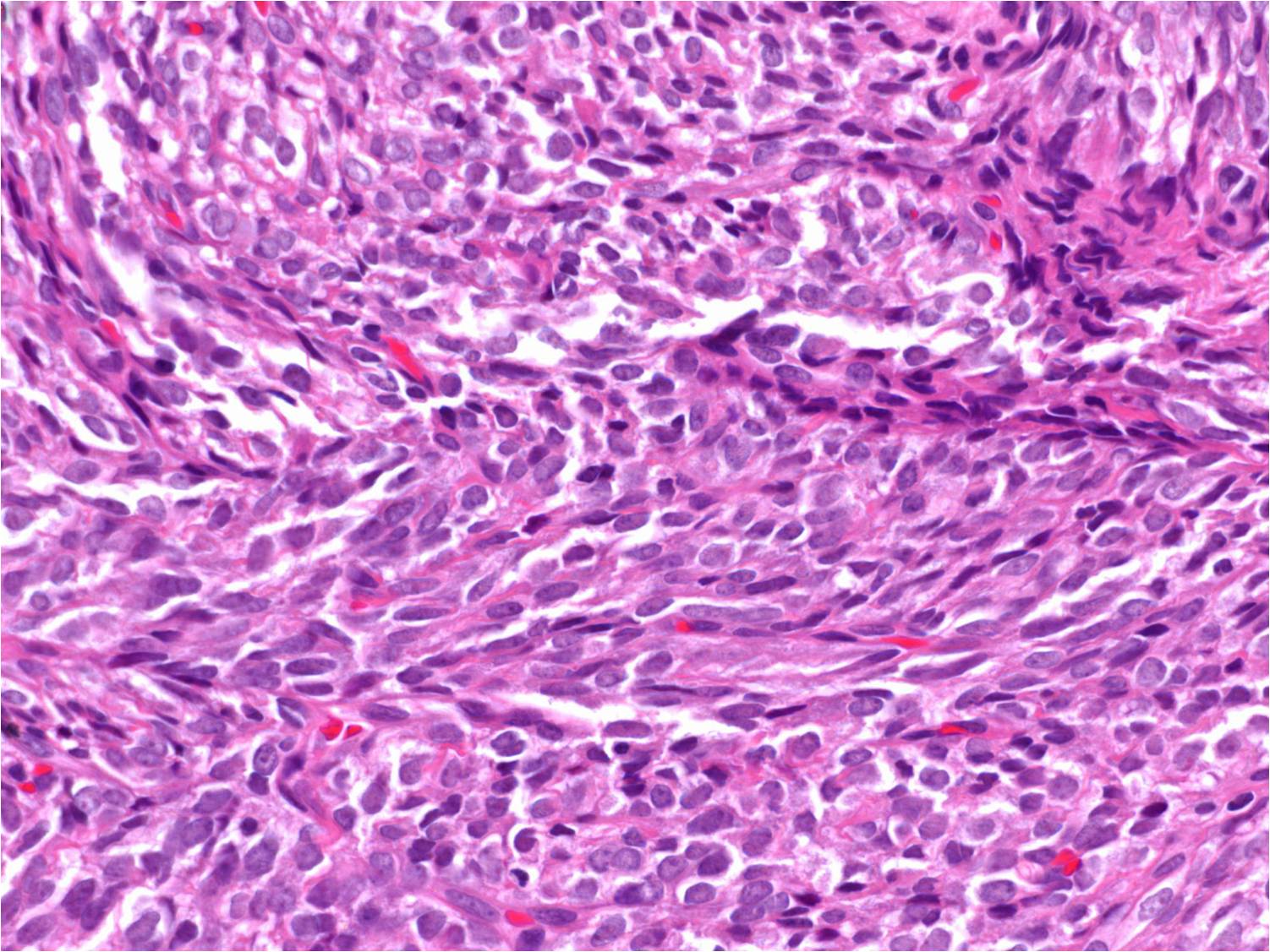
Un estudio liderado por la UCLM y el CSIC identifica dos proteínas clave en el desarrollo de los sarcomas
Los sarcomas son un grupo heterogéneo de tumores poco estudiados y sin terapias dirigidas que actúan específicamente contra el tumor, disminuyendo así la supervivencia de los pacientes y empeorando su calidad de vida, “lo cual es especialmente relevante si consideramos que se trata de un tipo de tumor con una alta prevalencia en la infancia”, destacan los investigadores









