La Organización Mundial de la Salud ha activado este sábado su máximo nivel de alerta internacional para intentar contener el brote de viruela del mono, que en la actualidad ha afectado a casi 17.000 personas en 74 países. Según ha informado su director general, Tedros Adhanom Ghebreyesus, el riesgo es "relativamente moderado" a nivel mundial salvo en Europa, donde es "alto".
Síntomas de la viruela del mono
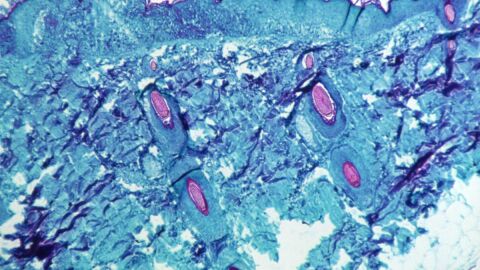
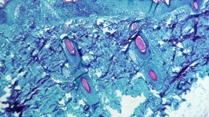
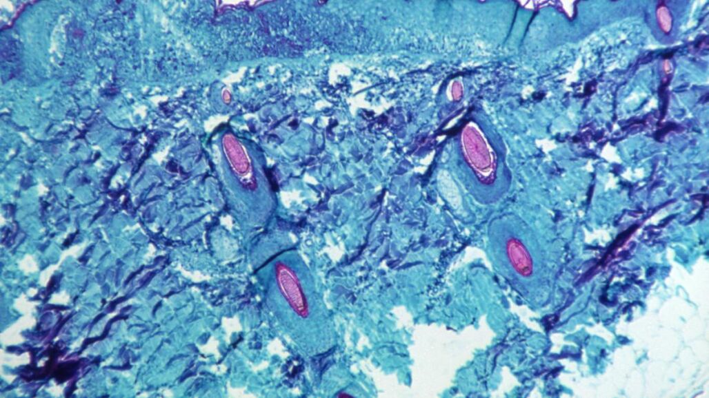
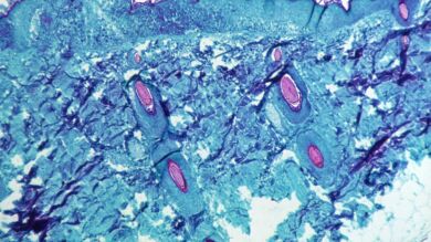
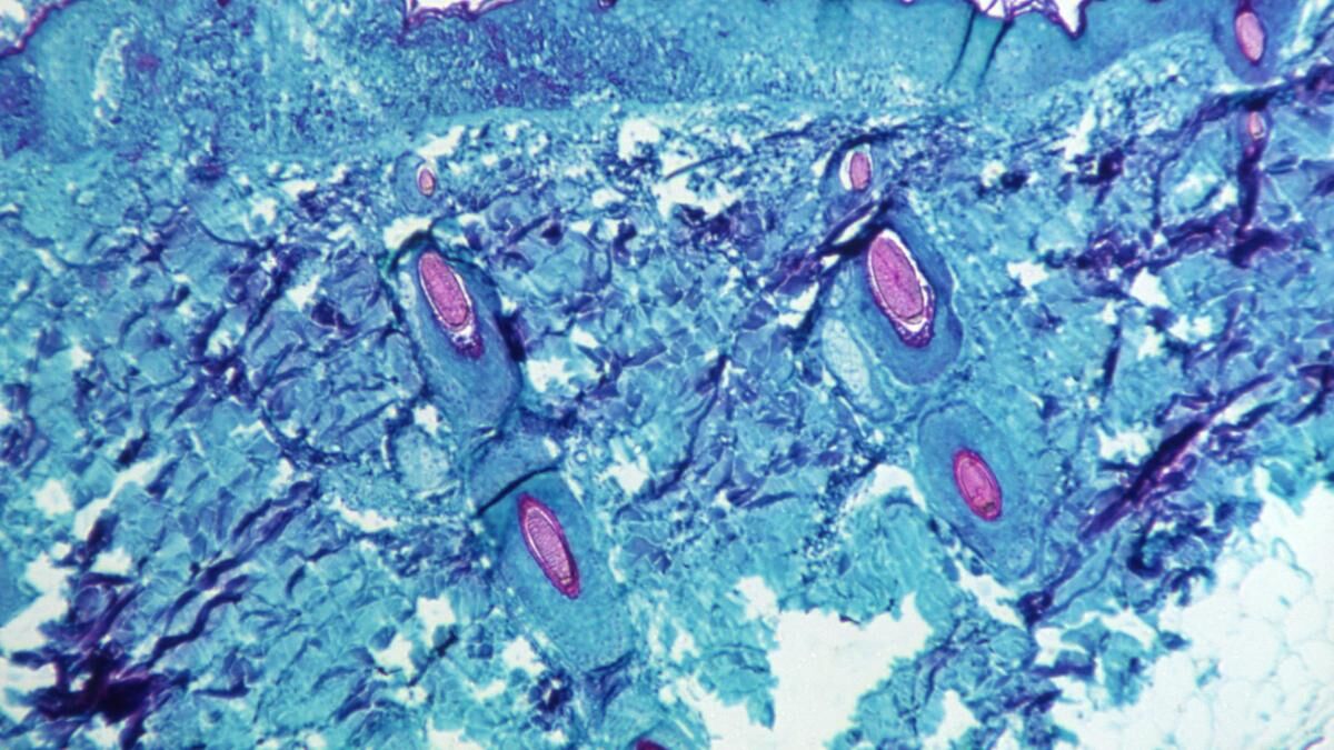
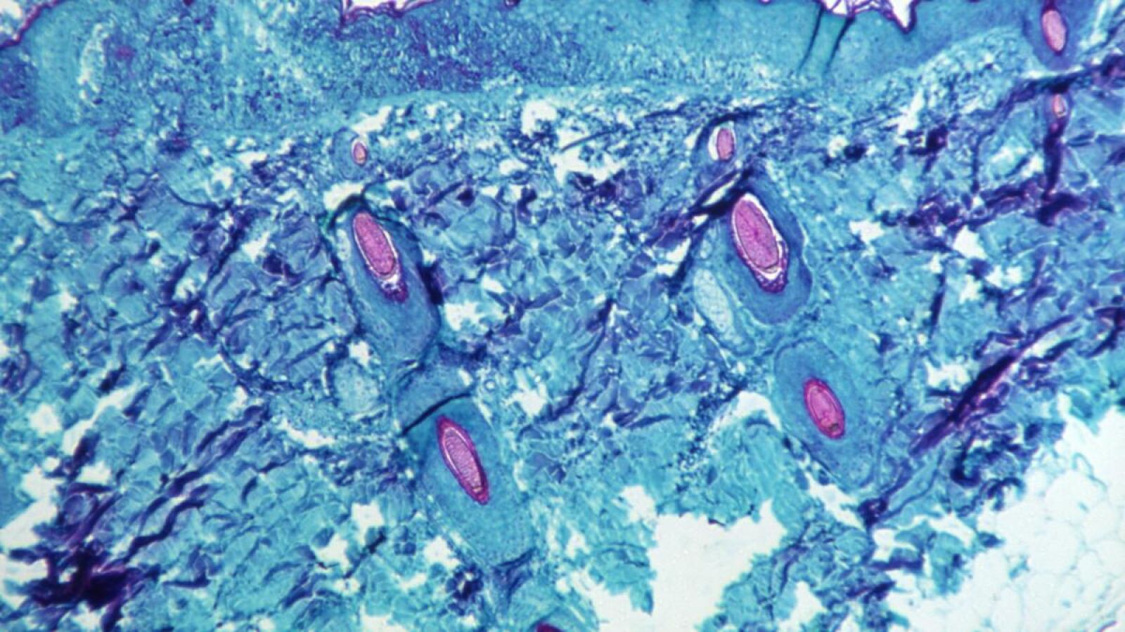
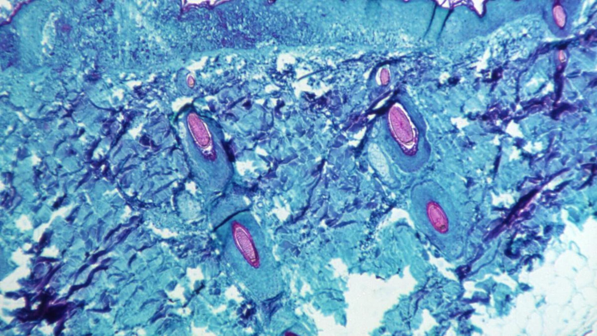
La viruela del mono es una zoonosis selvática con infecciones humanas que generalmente ocurren en partes boscosas de África Central y Occidental. Una zoonosis es una enfermedad infecciosa que pasa de un animal a humanos: normalmente, son bacterias, virus o parásitos.
El cuadro clínico inicial de una persona contagiada con viruela del mono suele incluir fiebre, dolor de cabeza, dolores musculares, inflamación de ganglios y cansancio. Entre 1 y 5 días después de la fiebre, se desarrolla una erupción, que evoluciona secuencialmente de máculas a pápulas, vesículas, pústulas y costras que se secan y se caen. Estos son otros síntomas comunes asociados a la enfermedad:
- Picazón o dolor
- Erupciones en la piel
- Dolor de espalda
- Escalofríos
Descubiertos nuevos síntomas más graves
Mientras tanto, una colaboración internacional de 16 países dirigida por investigadores de la Universidad Queen Mary de Londres (Reino Unido) ha identificado nuevos síntomas clínicos en personas infectadas por la viruela del mono. Publicado en la revista 'The New England Journal of Medicine', supone la mayor serie de casos hasta la fecha, ya que informa sobre 528 infecciones confirmadas en 43 lugares entre el 27 de abril y el 24 de junio de 2022.
Muchas de las personas infectadas examinadas en el estudio presentaban síntomas no reconocidos en las definiciones médicas actuales de la viruela del mono. Estos síntomas incluyen lesiones genitales únicas y llagas en la boca o el ano.
Los síntomas clínicos son similares a los de las infecciones de transmisión sexual (ITS) y pueden llevar fácilmente a un diagnóstico erróneo. En algunas personas, los síntomas anales y orales han provocado el ingreso en el hospital para tratar el dolor y las dificultades para tragar.
"Hemos demostrado que las actuales definiciones internacionales de casos deben ampliarse para añadir síntomas que no se incluyen actualmente, como las llagas en la boca, en la mucosa anal y las úlceras simples", ha comentado Chloe Orkin, catedrática de Medicina del VIH en la Universidad Queen Mary de Londres.
¿Cómo se transmite la enfermedad?
El principal mecanismo de transmisión de esta enfermedad es el contacto directo o indirecto con mamíferos vivos o muertos, sobre todo roedores o primates de zonas endémicas.
Mientras que de persona a persona se da por gotas respiratorias grandes durante el contacto cara a cara directo y prolongado, contacto directo con fluidos corporales de una persona infectada o con objetos contaminados e incluso de madre a hijo.
La enfermedad suele ser autolimitada y la mayoría de las personas se recuperan en varias semanas, aunque en algunos casos puede cursar grave, algo que ocurre con mayor frecuencia entre niños, jóvenes y personas inmunocomprometidas.
El período de incubación es de 6 a 16 días, pero puede llegar a 21.
Hospitalizaciones
En cuanto a servicios de salud, "70 pacientes, 13 por ciento de la muestra, fueron hospitalizados. Los motivos de hospitalización fueron el manejo del dolor, en su mayoría por dolor anorrectal severo (21 personas) y sobreinfección de tejidos blandos (18 personas)", indica el estudio.
Dadas las limitaciones mundiales en el suministro de vacunas y antivirales para esta infección tropical desatendida, la prevención sigue siendo una herramienta clave para limitar la propagación mundial de la infección humana por viruela del mono", ha comentado Chloe Orkin,.

